3D Smile Design — Digital Smile Design in Tallinn
Who Is It For?
Patients who want to see the future result before starting treatment.
Doctors planning aesthetic and functional restorations.
Labs that need accurate digital templates for manufacturing structures.
Problem

Many patients start dental treatment without a clear idea of what their final smile will look like.
Doctors and labs often face miscommunication regarding shape, proportions, and functional parameters. Without digital smile planning, you risk:
- mismatched expectations and real results;
- over- or under-preparation of teeth;
- aesthetic imbalance and occlusal errors;
- wasted time and multiple adjustments.
Solution
3D Smile Design at Fibo Diagnostic Center lets you preview your future smile before any clinical intervention. Using data from axiography, Face Scan, intraoral scanning, and CBCT, we create a functional and aesthetic 3D project that integrates both beauty and biomechanics.
- Patients see how their smile will look.
- Doctors receive a precise digital guide.
- Labs work with accurate files ready for production.
Price
| SERVICE | PRICE |
|---|---|
| Digital 3D Smile Design | €23 per unit |
| Motivational mock-up | Physical prototype for try-in |
What You Receive?

3D model of your future smile (STL / PLY formats)

High-resolution renders before/after

Motivational mock-up (optional physical try-in)
Why Choose Fibo
Advantage | Fibo Diagnostic Center | Conventional approach |
|---|---|---|
Integrated with full diagnostics (CBCT, axiography, scans) | ✅ Yes | ❌ No |
TMJ & occlusion function included | ✅ Yes | ❌ No |
Designed according to facial proportions | ✅ Yes | Partial |
3D files for any dental lab | ✅ STL / PLY | ❌ None |
Physical mock-up available | ✅ Yes | ❌ No |
How It Works (Step-by-Step)

Presentation
You see your future smile in 3D — on screen or as a physical mock-up.

Symmetrical smile lines; harmonized facial proportions; correct occlusal plane; realistic rendering of color and texture.

Output formats: STL, PLY, OBJ — compatible with all major CAD/CAM systems.

Output formats: STL, PLY, OBJ — compatible with all major CAD/CAM systems.
Active inflammation or untreated dental issues
Missing diagnostic data (a scan or CBCT may be required first)
Severe occlusal disorders needing correction before design
Reviews
I saw my new smile before the treatment even started — it gave me full confidence!
Fibo's 3D Smile Design helps synchronize doctor, lab, and patient vision. A real game-changer.
After diagnostics at Fibo, we were able to plan treatment precisely and avoid errors. The patient received a 3D model and splint, which simplified the process of installing structures.
I saw my future smile before treatment even started. This is very motivating and gives confidence in the result!
FAQ
Yes, all files are compatible with standard CAD/CAM systems.
Yes, we base the design on precise functional data from axiography, scans, and CBCT.
A temporary resin model placed over your teeth to test the final shape and proportions before treatment.
All 3D projects are securely stored for 12 months for possible re-use or adjustments.
Want to see your new smile before treatment begins?
Book your 3D Smile Design session at Fibo Diagnostic Center today
By booking diagnostics, you agree to the processing of your data and the terms of dental condition diagnostic services
Solution
3D Smile Design at Fibo Diagnostic Center lets you preview your future smile before any clinical intervention. Using data from axiography, Face Scan, intraoral scanning, and CBCT, we create a functional and aesthetic 3D project that integrates both beauty and biomechanics.
- Patients see how their smile will look.
- Doctors receive a precise digital guide.
- Labs work with accurate files ready for production.
Price
| SERVICE | PRICE |
|---|---|
| Digital 3D Smile Design | €23 per unit |
| Motivational mock-up | Physical prototype for try-in |
What You Receive?

3D model of your future smile (STL / PLY formats)

High-resolution renders before/after;

Motivational mock-up

PDF report with functional and aesthetic parameters
Why Choose Fibo


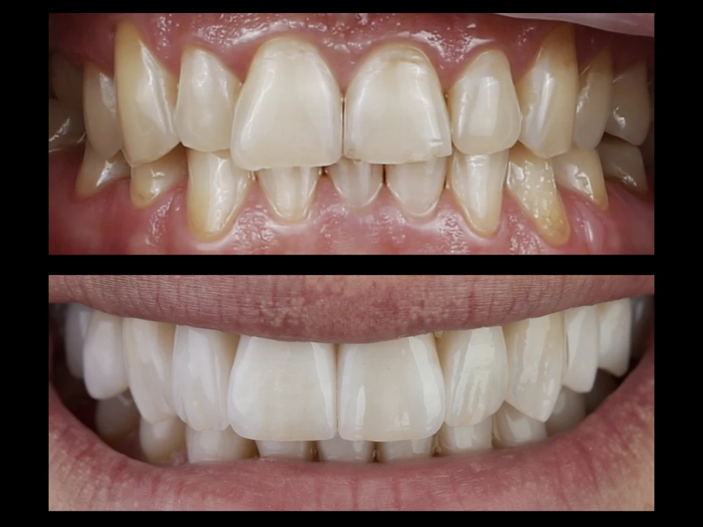
What the Result Looks Like

High-resolution renders before/after

Possibility of virtual try-in of future structures;

Possibility to view the result from any angle.
Contraindications
Active inflammation or untreated dental issues
Extensive bandages, splints or casts in the scanning area
Inability to fix head and face in a stable position

Symmetrical smile lines; harmonized facial proportions; correct occlusal plane; realistic rendering of color and texture.

Correct facial proportions; chewing function consideration; realistic visualization of tooth color and texture.

Output formats: STL, PLY, OBJ — compatible with all major CAD/CAM systems.
Active inflammation or untreated dental issues
Missing diagnostic data (a scan or CBCT may be required first);
Severe occlusal disorders needing correction before design
Reviews
I saw my new smile before the treatment even started — it gave me full confidence!
Fibo's 3D Smile Design helps synchronize doctor, lab, and patient vision. A real game-changer.
After diagnostics at Fibo, we were able to plan treatment precisely and avoid errors. The patient received a 3D model and splint, which simplified the process of installing structures.
I saw my future smile before treatment even started. This is very motivating and gives confidence in the result!
FAQ
Yes, all files are compatible with standard CAD/CAM systems.
Yes, we base the design on precise functional data from axiography, scans, and CBCT.
A temporary resin model placed over your teeth to test the final shape and proportions before treatment.
All 3D projects are securely stored for 12 months for possible re-use or adjustments.
Want to see your new smile before treatment begins?
By booking diagnostics, you agree to the processing of your data and the terms of dental condition diagnostic services