3D Smile Design — digitaalse naeratuse disain Tallinnas
Kellele sobib?
Patsientidele — tulevase naeratuse nägemiseks enne ravi algust.
Arstidele — täpseks esteetiliseks ja funktsionaalseks planeerimiseks.
Laboritele — töökindlate 3D-andmete kasutamiseks konstruktsioonide valmistamisel.
Probleem

Paljud patsiendid alustavad ravi teadmata, milline saab olema lõpptulemus.
Arstidel ja laboritel on keeruline täpselt kooskõlastada hamba kuju, suurust ja proportsioone. Ilma digitaalse planeerimiseta võivad tekkida:
- erinevused oodatud ja tegeliku tulemuse vahel;
- üleliigne või ebapiisav hammaste lihvimine;
- esteetiline tasakaalutus või funktsiooni probleemid;
- korduvad parandused ja ajakadu.
Lahendus
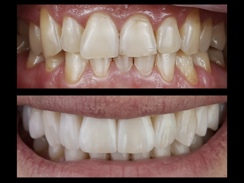
3D Smile Design võimaldab näha oma tulevast naeratust enne ravi algust. Fibo Diagnostika Keskuses luuakse funktsionaalne ja esteetiline 3D projekt, mis põhineb täpsetel diagnostilistel andmetel — akssiograafia, näoskaneerimine, intraoraalne skaneerimine ja CBCT.
- Patsient näeb oma tulevast tulemust.
- Arst saab täpse juhendi, labor — töökindlad 3D-failid tootmiseks.
Hind
| TEENUS | HIND |
|---|---|
| Digitaalse 3D naeratuse disain | 23 € ühiku kohta |
| Motivatsiooniline mock-up | füüsiline mudel tulevasest naeratusest |
Mida te saate?

3D mudel tulevasest naeratusest (STL / PLY formaat)

Andmete integratsioon hambalabori skaneeringutega

Tulevase naeratuse visualiseerimine
Miks valida Fibo
Eelis | Fibo Diagnostika Keskus | Tavaline lahendus |
|---|---|---|
Põhjalik diagnostika (CBCT, akssiograafia, skaneeringud) | ✅ Jah | ❌ Ei |
Ravi planeerimisel on arvestatud lõualiigese ja hambumuse funktsiooniga | ✅ Jah | ❌ Ei |
Näoproportsioonidel põhinev disain | ✅ Jah | Osaliselt |
3D-failid iga labori jaoks | ✅ STL / PLY | ❌ Ei |
Füüsiline mock-up võimalik | ✅ Jah | ❌ Ei |
Kuidas protsess toimub

Disaini esitlus
Patsient näeb oma tulevast naeratust ekraanil või füüsilise mock-upina.

Kõrge kvaliteediga renderid enne/pärast

Sümmeetrilised naeratusjooned; harmoonilised näoproportsioonid; korrektne hambumusjoon; realistlik värv ja tekstuur.

Failivormingud: STL, PLY, OBJ — ühilduvad kõigi levinud CAD/CAM süsteemidega.
Aktiivsed põletikulised protsessid suus
Puudulikud diagnostikaandmed (vajalik eelnev diagnostika)
Väljendunud hambumuse häired, mis vajavad esmalt korrigeerimist.
Arvustused
Nägin oma uut naeratust juba enne ravi — see andis täieliku kindlustunde tulemuses!
Fibo 3D disain aitab arstidel ja laboritel töötada ühise eesmärgiga. Väga täpne ja usaldusväärne.
Nägin oma uut naeratust juba enne ravi — see andis täieliku kindlustunde tulemuses!
Fibo 3D disain aitab arstidel ja laboritel töötada ühise eesmärgiga. Väga täpne ja usaldusväärne.
FAQ
Jah, failid sobivad kõigile levinud CAD/CAM süsteemidele.
Jah, disain põhineb täpsetel funktsionaalsetel andmetel (akssiograafia, skaneerimised, CBCT).
See on ajutine mudel, mis pannakse hammastele, et näha tulemust enne lõplikku ravi.
Me säilitame kõik 3D-projektid vähemalt 12 kuud, vajadusel saab neid uuesti kasutada või täiendada.
Soovid näha oma tulevast naeratust enne ravi algust?
Broneeri 3D Smile Design aeg juba täna Fibo Diagnostika Keskuses!
Broneerides aega, annate nõusoleku oma andmete töötlemiseks ja diagnostika teenuse tingimustele
Lahendus
3D Smile Design võimaldab näha oma tulevast naeratust enne ravi algust. Fibo Diagnostika Keskuses luuakse funktsionaalne ja esteetiline 3D projekt, mis põhineb täpsetel diagnostilistel andmetel — akssiograafia, näoskaneerimine, intraoraalne skaneerimine ja CBCT.
- Patsient näeb oma tulevast tulemust.
- Arst saab täpse juhendi, labor — töökindlad 3D-failid tootmiseks.
Hind
| TEENUS | HIND |
|---|---|
| Digitaalse 3D naeratuse disain | 23 € ühiku kohta |
| Motivatsiooniline mock-up | füüsiline mudel tulevasest naeratusest |
Mida te saate?

3D mudel tulevasest naeratusest (STL / PLY formaat)

Kõrge kvaliteediga renderid enne/pärast

Motivatsiooniline mock-up

PDF aruanne soovitustega kuju, proportsioonide ja ettevalmistuse kohta.
Miks valida Fibo


Tulemuse kirjeldus

Kõrge kvaliteediga renderid enne/pärast

Võimalus virtuaalset proovimist tulevasi konstruktsioone;

Võimalus vaadata tulemust mis tahes nurga alt.
Vastunäidustused
Aktiivsed põletikulised protsessid suus
Laiad sidemed, splintid või kips skaneerimise piirkonnas
Võimatus fikseerida pead ja nägu stabiilses asendis

Kõrge kvaliteediga renderid enne/pärast: sümmeetrilised naeratusjooned;

Harmoonilised näoproportsioonid; korrektne hambumusjoon; realistlik värv ja tekstuur.

Failivormingud: STL, PLY, OBJ — ühilduvad kõigi levinud CAD/CAM süsteemidega.
Aktiivsed põletikulised protsessid suus
Puudulikud diagnostikaandmed (vajalik eelnev diagnostika);
Väljendunud hambumuse häired, mis vajavad esmalt korrigeerimist.
Arvustused
Nägin oma uut naeratust juba enne ravi — see andis täieliku kindlustunde tulemuses!
Fibo 3D disain aitab arstidel ja laboritel töötada ühise eesmärgiga. Väga täpne ja usaldusväärne.
Nägin oma uut naeratust juba enne ravi — see andis täieliku kindlustunde tulemuses!
Fibo 3D disain aitab arstidel ja laboritel töötada ühise eesmärgiga. Väga täpne ja usaldusväärne.
FAQ
Jah, failid sobivad kõigile levinud CAD/CAM süsteemidele.
Jah, disain põhineb täpsetel funktsionaalsetel andmetel (akssiograafia, skaneerimised, CBCT).
See on ajutine mudel, mis pannakse hammastele, et näha tulemust enne lõplikku ravi.
Me säilitame kõik 3D-projektid vähemalt 12 kuud, vajadusel saab neid uuesti kasutada või täiendada.
Soovid näha oma tulevast naeratust enne ravi algust?
Broneerides aega, annate nõusoleku oma andmete töötlemiseks ja diagnostika teenuse tingimustele