CBCT (lõualuude röntgen)
Hammaste 3D röntgen (CBCT) — täpne lõualuude 3D-diagnostika Tallinnas
Hammaste 3D röntgen (CBCT) — täpne lõualuude 3D-diagnostika Tallinnas
Kellele see sobib?
Patsientidele — enne implantatsiooni, ortodontiat, proteesimist või peidetud probleemide tuvastamiseks.
Arstidele — täpseks raviplaanimiseks ja tulemuste hindamiseks.
Laboritele — konstruktsioonide valmistamiseks anatoomilise täpsusega.
Probleem

Paljud hambaprobleemid ei ole tavalisel läbivaatusel nähtavad. Ilma täpse 3D-kuvata:
- on raske kindlaks teha valu või ebamugavuse tegelikku põhjust;
- võivad jääda avastamata tsüstid, põletikud või juurepraod;
- implantatsiooni ja proteesimise planeerimine ei ole piisavalt täpne;
- lõualiigese ja hammustuse analüüs jääb ebatäielikuks.
Lahendus
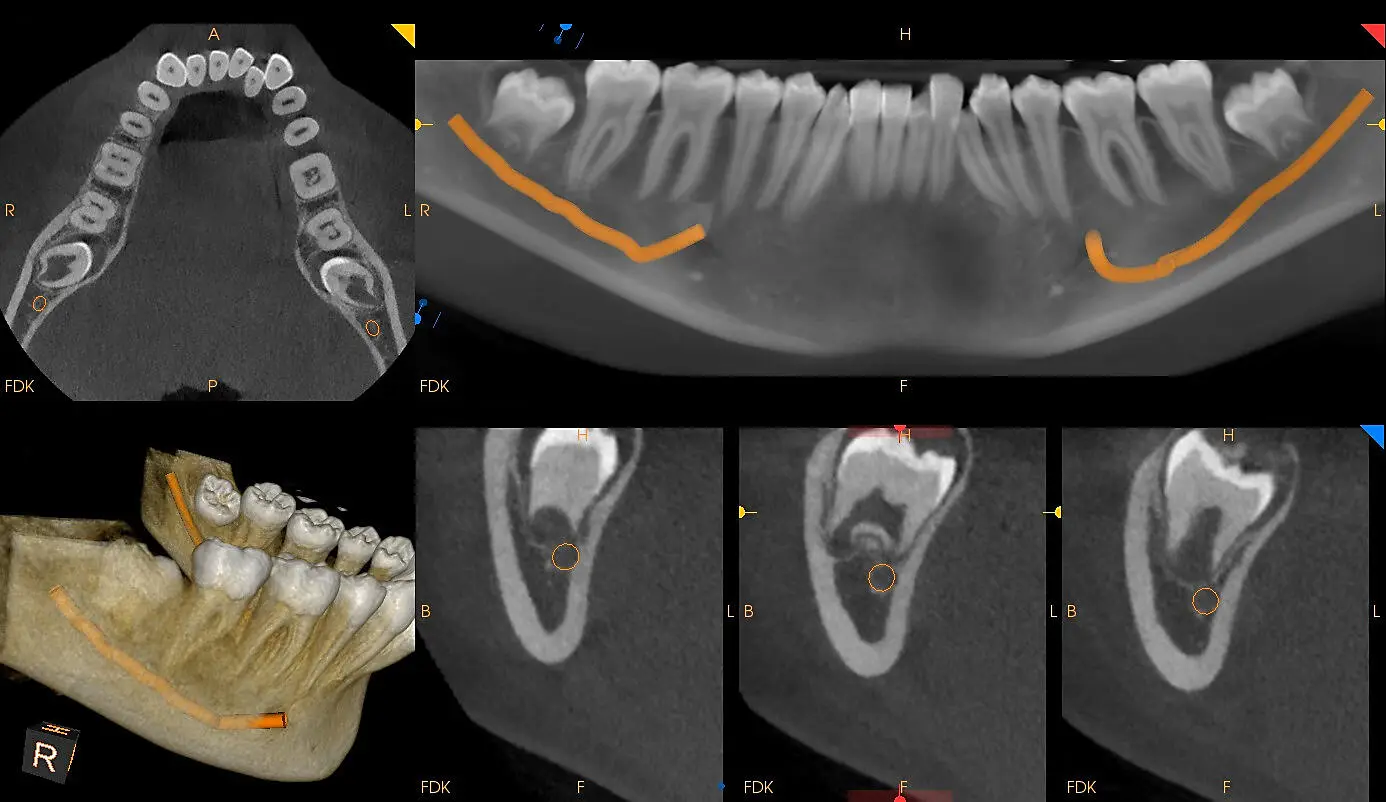
Hammaste 3D röntgen (CBCT – koonkiire kompuutertomograafia) annab detailse 3D-kujutise hammastest, lõualuudest ja liigestest vaid ühe visiidi jooksul.
See võimaldab ülitäpset visualiseerimist implantatsiooni, ortodontilise ja funktsionaalse planeerimise jaoks. Praegu tehakse seda teenust Fibo Diagnostika Keskuse partnerkliinikutes.
Hind
| TEENUS | HIND |
|---|---|
| Teenust osutab meie partner kliinik, mis asub körvalhoones | |
| Mõlema lõualuu CBCT | 100€ |
| Kuulub paketidesse AVATAR ja MYO AVATAR | kuulub pakettidesse |
Mida te saate?

Kõrge eraldusvõimega 3D-kujutis ühest või mõlemast lõualuust.

Failid, mis sobivad igasse CAD/CAM- või diagnostikaprogrammi.
CBCT eelised Fibo Diagnostika Keskuses
- Väga kõrge täpsus ja detailsus — varajane patoloogiate avastamine.
- Madal kiirgusdoos — ohutu ja mugav.
- Kiirus — uuring kestab vaid 5–10 minutit, tulemused samal päeval.
- Digitaalne formaat — failid ühilduvad kõikide kliinikute ja laboritega (DICOM, STL).
- Täisdiagnostika — võimalik ühendada aktsiograafia, müograafia ja 3D-skaneerimisega.
Parameeter | CBCT (3D) | Panoraamröntgen (2D) |
Formaat | 3D-kujutis | 2D-kujutis |
Detailsus | Väga kõrge, nähtavad kõik luustruktuurid | Piiratud, ilma sügavuseta |
Uuringuala | Lokaalne või kogu lõualuu liigestega | Kogu lõualuu, vähem detaile |
Kiirgusdoos | Madal | Madal |
Analüüsivõimalused | Luupaksuse hindamine, varjatud patoloogiad, implantatsiooni ja ortodontia planeerimine | Üldine ülevaade ilma täpsete mõõtmisteta |
Kuidas protseduur toimub
Positsioneerimine
Pea fikseeritakse seadmes.

Te saate interaktiivse 3D-kujutise, kus on selgelt nähtavad: hambad ja juured, lõualuu luustruktuurid, ülalõuaurgete piirkond, lõualiigesed.

Faili saab avada spetsiaalprogrammides või edastada oma arstile või laborile ravi planeerimiseks.
Võimetus püsida uuringu ajal paigal
Enne protseduuri konsulteerige oma arstiga.
Enne protseduuri konsulteerige oma arstiga.
Arvustused
Fibo korraldas mulle CBCT aja partnerkliinikus — kõik oli kiire ja mugav.
Sain oma 3D-failid samal päeval, Fibo kasutas neid täpselt minu naeratuse disaini jaoks.
Pärast Fibo diagnostikat suutsime täpselt planeerida ravi ja vältida vigu. Patsient sai 3D-mudeli ja splinti, mis lihtsustas konstruktsioonide paigaldamist.
Nägin oma tulevast naeratust juba enne ravi algust. See motiveerib väga ja annab kindlust tulemuse suhtes!
FAQ
Jah, Fibo aitab broneerida aja partnerkliinikus.
Jah, kõik failid antakse DICOM- ja STL-formaadis.
Tavaliselt samal päeval.
Ei, protseduur on täiesti valutu ja ohutu — ei kasutata kiirgust ega survet hammastele.
Kas soovite näha oma tulevast naeratust juba enne ravi algust?
Broneerides diagnostika, annate nõusoleku oma andmete töötlemiseks ja hambaravi teenuse tingimustele
Lahendus
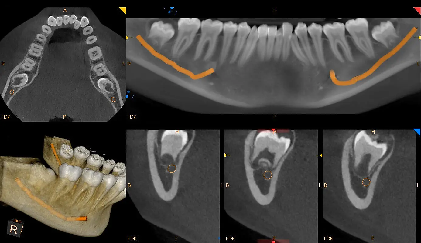
Hammaste 3D röntgen (CBCT – koonkiire kompuutertomograafia) annab detailse 3D-kujutise hammastest, lõualuudest ja liigestest vaid ühe visiidi jooksul.
See võimaldab ülitäpset visualiseerimist implantatsiooni, ortodontilise ja funktsionaalse planeerimise jaoks. Praegu tehakse seda teenust Fibo Diagnostika Keskuse partnerkliinikutes.
Hind
| TEENUS | HIND |
|---|---|
| Teenust osutab meie partner kliinik, mis asub körvalhoones | |
| Mõlema lõualuu CBCT | 100€ |
| Kuulub paketidesse AVATAR ja MYO AVATAR | kuulub pakettidesse |
Mida te saate?

Kõrge eraldusvõimega 3D-kujutis ühest või mõlemast lõualuust

Failid, mis sobivad igasse CAD/CAM- või diagnostikaprogrammi.
CBCT eelised Fibo Diagnostika Keskuses
- Väga kõrge täpsus ja detailsus — varajane patoloogiate avastamine.
- Madal kiirgusdoos — ohutu ja mugav.
- Kiirus — uuring kestab vaid 5–10 minutit, tulemused samal päeval.
- Digitaalne formaat — failid ühilduvad kõikide kliinikute ja laboritega (DICOM, STL).
- Täisdiagnostika — võimalik ühendada aktsiograafia, müograafia ja 3D-skaneerimisega.
Eelise
CBCT (3D)
Panoraamröntgen (2D)
Formaat
3D-kujutis
2D-kujutis
Detailsus
Väga kõrge, nähtavad kõik luustruktuurid
Piiratud, ilma sügavuseta
Uuringuala
Lokaalne või kogu lõualuu liigestega
Kogu lõualuu, vähem detaile
Kiirgusdoos
Madal
Madal
Analüüsivõimalused
Luupaksuse hindamine, varjatud patoloogiad, implantatsiooni ja ortodontia planeerimine
Üldine ülevaade ilma täpsete mõõtmisteta
CBCT tulemus

Te saate interaktiivse 3D-kujutise

Võimalus tellida konstruktsioon (kroonid, laminaadid, sillad, lõualuude stabiliseerimiskape) või tulevase naeratuse 3D-disain;

Võimalus vaadata tulemust igast küljest.
Vastunäidustused
Rasedus (eriti esimene trimester)
Raske äge haigus
Hiljutine suur kiirgusdoos

Te saate interaktiivse 3D-kujutise, kus on selgelt nähtavad: hambad ja juured, lõualuu luustruktuurid, ülalõuaurgete piirkond, lõualiigesed.

Faili saab avada spetsiaalprogrammides või edastada oma arstile või laborile ravi planeerimiseks.
Rasedus (eriti esimene trimester)
Raske äge haigus
Enne protseduuri konsulteerige oma arstiga.
Enne protseduuri konsulteerige oma arstiga.
Arvustused
Fibo korraldas mulle CBCT aja partnerkliinikus — kõik oli kiire ja mugav.
Sain oma 3D-failid samal päeval, Fibo kasutas neid täpselt minu naeratuse disaini jaoks.
Pärast Fibo diagnostikat suutsime täpselt planeerida ravi ja vältida vigu. Patsient sai 3D-mudeli ja splinti, mis lihtsustas konstruktsioonide paigaldamist.
Nägin oma tulevast naeratust juba enne ravi algust. See motiveerib väga ja annab kindlust tulemuse suhtes!
FAQ
Jah, Fibo aitab broneerida aja partnerkliinikus.
Jah, kõik failid antakse DICOM- ja STL-formaadis.
Tavaliselt samal päeval.
Kas soovite näha oma tulevast naeratust juba enne ravi algust?
Broneerides diagnostika, annate nõusoleku oma andmete töötlemiseks ja hambaravi teenuse tingimustele