3D Smile Design в Таллинне
3D Smile Design — цифровой дизайн улыбки в Таллине
3D Smile Design — цифровой дизайн улыбки в Таллине
Для кого подходит?
Пациенты, которые хотят увидеть будущий результат до начала лечения.
Доктора, планирующие эстетические и функциональные реставрации.
Лаборатории, которым нужен точный цифровой шаблон для изготовления конструкций.
Проблема

Многие стоматологические пациенты начинают лечение, не представляя, каким будет конечный результат.
Врачам сложно объяснить, как изменится форма и пропорции зубов, а лаборатории — согласовать эстетические и функциональные параметры. Без предварительного 3D-планирования возможны:
- несоответствие ожиданий пациента и результата;
- ошибки в объёмах препарирования;
- необходимость переделок и потери времени;
- недопонимание между врачом и лабораторией.
Решение
3D Smile Design — это цифровое моделирование вашей будущей улыбки с учётом эстетики, прикуса и пропорций лица. В Fibo Diagnostic Center мы создаём функционально-эстетический 3D-проект на основе данных диагностики: аксиографии, сканов, фотопротокола и CBCT.
- Вы видите, как будет выглядеть ваша улыбка ещё до начала лечения.
- Доктор получает точное руководство, лаборатория — корректные данные для изготовления конструкций.
Стоимость
| УСЛУГА | ЦЕНА |
|---|---|
| Цифровой 3D-дизайн | 23 € за единицу |
| Мотивационный mock-up | физическая модель будущей улыбки |
Что вы получаете?

3D-модель вашей будущей улыбки (в формате STL/PLY)

Интеграцию данных с зубочелюстными сканами

Визуализацию будущей улыбки
Преимущества работы с Fibo
Преимущество | Fibo Diagnostic Center | Обычные решения |
|---|---|---|
Полная интеграция с диагностикой (аксио, мио, сканы) | ✅ Да | ❌ Нет |
Учёт функции ВНЧС и окклюзии | ✅ Да | ❌ Нет |
Эстетика по лицевым пропорциям | ✅ Да | Частично |
3D-файлы для лаборатории | ✅ STL/PLY | ❌ Отсутствуют |
Возможность физического mock-up | ✅ Да | ❌ Нет |
Как проходит процедура (Step by Step)

Презентация дизайна
Пациент видит визуализацию будущей улыбки на экране или в виде mock-up модели.

Рендеры и 3D-модели будущих реставраций: симметричные линии улыбки;

Учёт жевательной функции; реалистичная визуализация цвета и текстуры зубов.

Форматы файлов: STL, PLY, OBJ — совместимы с большинством CAD/CAM-систем.
Острые воспалительные процессы в области лица
Отсутствие базовых диагностических данных (при необходимости — предварительная диагностика)
Неполное закрытие зубных рядов или выраженные окклюзионные нарушения (требуется коррекция перед 3D-планированием).
Отзывы
После 3D Smile Design я впервые увидела, какой будет моя улыбка — результат превзошёл ожидания!
3D-проект от Fibo помогает точно согласовать эстетику с функцией. Работать с лабораторией стало проще.
После диагностики в Fibo мы смогли точно спланировать лечение и избежать ошибок. Пациент получил 3D-модель и сплинт, что упростило процесс установки конструкций.
Я увидела свою будущую улыбку ещё до начала лечения. Это очень мотивирует и даёт уверенность в результате!
FAQ
Да, они совместимы с большинством CAD/CAM-систем.
Да, чтобы учесть прикус и суставные параметры, используются данные аксиографии, сканов и фото.
Это визуализация будущей улыбки на зубах пациента из временного материала, чтобы «примерить» результат.
Мы сохраняем 3D-файлы в течение 12 месяцев — можно повторно использовать или доработать.
Хотите увидеть будущую улыбку до начала лечения?
Запишитесь на 3D Smile Design прямо сейчас
Записываясь на диагнотику, вы даёте согласие на обработку своих данных и условия услуги диагностики состояния зубов
Решение
3D Smile Design — это цифровое моделирование вашей будущей улыбки с учётом эстетики, прикуса и пропорций лица. В Fibo Diagnostic Center мы создаём функционально-эстетический 3D-проект на основе данных диагностики: аксиографии, сканов, фотопротокола и CBCT.
- Вы видите, как будет выглядеть ваша улыбка ещё до начала лечения.
- Доктор получает точное руководство, лаборатория — корректные данные для изготовления конструкций.
Стоимость
| УСЛУГА | ЦЕНА |
|---|---|
| Цифровой 3D-дизайн | 23 € за единицу |
| Мотивационный mock-up | физическая модель будущей улыбки |
Что вы получаете?

3D-модель вашей будущей улыбки (в формате STL/PLY)

Рендеры/превью до и после;

Мотивационный mock-up

PDF-отчёт с описанием формы, пропорций и рекомендаций по препарированию.
Преимущества работы с Fibo


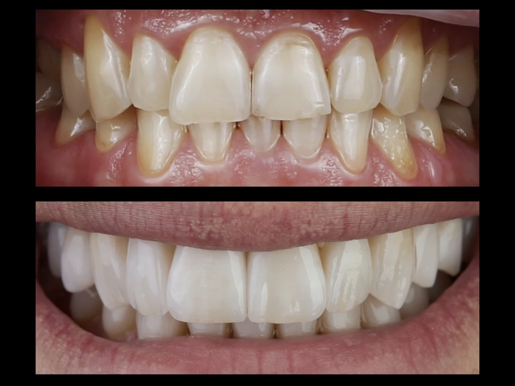
Как выглядит результат?

Рендеры/превью до и после

Возможность виртуальной примерки будущих конструкций;

Возможность рассматривать результат под любым углом.
Противопоказания
Острые воспалительные процессы в области лица
Обширные повязки, шины или гипс в зоне сканирования
Невозможность зафиксировать голову и лицо в стабильном положении

Рендеры и 3D-модели будущих реставраций: симметричные линии улыбки;

Правильные пропорции лица; учёт жевательной функции; реалистичная визуализация цвета и текстуры зубов.

Форматы файлов: STL, PLY, OBJ — совместимы с большинством CAD/CAM-систем.
Активные воспалительные процессы в полости рта
Отсутствие базовых диагностических данных (при необходимости — предварительная диагностика);
Неполное закрытие зубных рядов или выраженные окклюзионные нарушения (требуется коррекция перед 3D-планированием).
Отзывы
После 3D Smile Design я впервые увидела, какой будет моя улыбка — результат превзошёл ожидания!
3D-проект от Fibo помогает точно согласовать эстетику с функцией. Работать с лабораторией стало проще.
После диагностики в Fibo мы смогли точно спланировать лечение и избежать ошибок. Пациент получил 3D-модель и сплинт, что упростило процесс установки конструкций.
Я увидела свою будущую улыбку ещё до начала лечения. Это очень мотивирует и даёт уверенность в результате!
FAQ
Да, они совместимы с большинством CAD/CAM-систем.
Да, чтобы учесть прикус и суставные параметры, используются данные аксиографии, сканов и фото.
Это визуализация будущей улыбки на зубах пациента из временного материала, чтобы «примерить» результат.
Мы сохраняем 3D-файлы в течение 12 месяцев — можно повторно использовать или доработать.
Хотите увидеть будущую улыбку до начала лечения?
Записываясь на диагнотику, вы даёте согласие на обработку своих данных и условия услуги диагностики состояния зубов