Точная 3D-диагностика в Таллине
Для кого подходит?
Пациенты — при подготовке к имплантации, ортодонтии, протезированию, для выявления скрытых проблем.
Врачам — для точного планирования лечения и контроля его результатов.
Лабораториям — для изготовления конструкций с учётом анатомических особенностей пациента.
Проблема

Многие стоматологические проблемы скрыты от обычного осмотра. Без точной визуализации:
- сложно определить причину боли или дискомфорта;
- высок риск пропустить кисты, воспаления или трещины;
- невозможно точно спланировать имплантацию или сложное протезирование;
- диагностика ВНЧС и прикуса остаётся неполной.
Решение
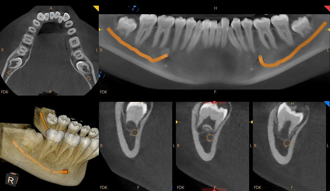
CBCT (Cone Beam Computed Tomography) в Fibo Diagnostic Center — это высокоточное 3D-исследование зубочелюстной системы за один визит.
Мы используем современное оборудование, позволяющее получать детализированные снимки с минимальной лучевой нагрузкой. CBCT даёт полное представление о состоянии зубов, костных структур, корней и суставов.
Стоимость
| УСЛУГА | ЦЕНА |
|---|---|
| Услугу предоставляет наша партнерская клиника, расположенная в соседнем здании. | |
| CBCT обеих челюстей | 100€ |
| Входит в пакеты AVATAR и MYO AVATAR | входит в стоимость |
Что вы получаете?

3D-снимок одной или обеих челюстей в высоком разрешении.

Файлы в формате, совместимом с любым CAD/CAM ПО.
Преимущества работы с Fibo
- Точность и детализация — выявление патологий на ранних стадиях.
- Минимальная лучевая нагрузка — безопасно для здоровья.
- Быстрота — исследование занимает 5–10 минут, результат — в день визита.
- Совместимость — снимки в цифровом формате, подходят для любой клиники или лаборатории.
- Полный контроль — возможность совместить CBCT с аксиографией, миографией и 3D-сканами.
Параметр | CBCT (КТ челюсти) | Панорамный снимок (ОПТГ) |
Формат | 3D изображение | 2D изображение |
Детализация | Высокая, видны мельчайшие структуры костей и зубов | Ограниченная, без объёмной информации |
Область исследования | Локально или вся челюсть с суставами | Вся челюсть, но без детальной визуализации |
Лучевая нагрузка | Низкая (сопоставима или меньше, чем у ОПТГ) | Низкая |
Возможности анализа | Оценка толщины кости, выявление скрытых патологий, планирование имплантации, ортодонтии, хирургии | Общая оценка состояния зубов и костей, без точных измерений |
Как проходит процедура (Step by Step)
Позиционирование
Пациент занимает положение в аппарате, голова фиксируется.

Вы получите интерактивный 3D-снимок, на котором чётко видны: зубы и корни, костные структуры челюсти, гайморовы пазухи, суставы ВНЧС.

Файл можно просматривать в специализированных программах или передать вашему врачу/лаборатории для планирования лечения.
Беременность (особенно первый триместр)
Наличие тяжёлых заболеваний в стадии обострения
Недавнее облучение в больших дозах
Отзывы пациентов
Очень быстро и профессионально сделали КТ челюсти. Снимки отличного качества, врач подробно всё объяснил.
Получил результат в тот же день, файлы подошли моему врачу для планирования имплантации без проблем.
После диагностики в Fibo мы смогли точно спланировать лечение и избежать ошибок. Пациент получил 3D-модель и сплинт, что упростило процесс установки конструкций.
Я увидела свою будущую улыбку ещё до начала лечения. Это очень мотивирует и даёт уверенность в результате!
FAQ
Да, вы можете записаться только на КТ челюсти.
Да, мы предоставляем файлы в совместимых форматах (DICOM, STL и др.).
Готово в день визита.
Данная процедура абсолютно безболезненна.
Хотите увидеть будущую улыбку до начала лечения?
Записываясь на диагнотику, вы даёте согласие на обработку своих данных и условия услуги диагностики состояния зубов
Решение
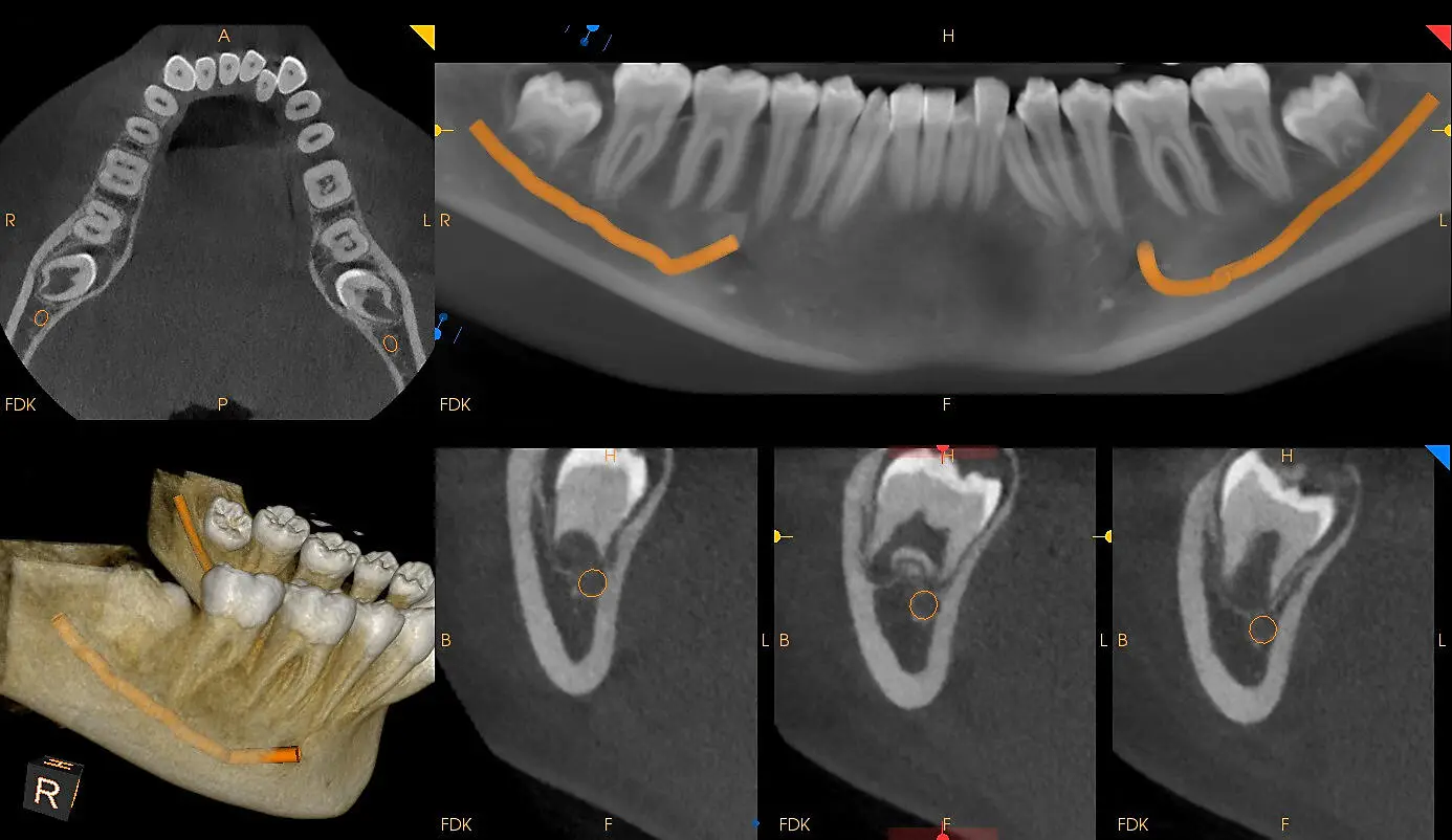
CBCT (Cone Beam Computed Tomography) в Fibo Diagnostic Center — это высокоточное 3D-исследование зубочелюстной системы за один визит.
Мы используем современное оборудование, позволяющее получать детализированные снимки с минимальной лучевой нагрузкой. CBCT даёт полное представление о состоянии зубов, костных структур, корней и суставов.
Стоимость
| УСЛУГА | ЦЕНА |
|---|---|
| Услугу предоставляет наша партнерская клиника, расположенная в соседнем здании. | |
| CBCT обеих челюстей | 100€ |
| Входит в пакеты AVATAR и MYO AVATAR | входит в стоимость |
Что вы получаете?

3D-снимок одной или обеих челюстей в высоком разрешении

Файлы в формате, совместимом с любым CAD/CAM ПО.
Преимущества работы с Fibo
- Точность и детализация — выявление патологий на ранних стадиях.
- Минимальная лучевая нагрузка — безопасно для здоровья.
- Быстрота — исследование занимает 5–10 минут, результат — в день визита.
- Совместимость — снимки в цифровом формате, подходят для любой клиники или лаборатории.
- Полный контроль — возможность совместить CBCT с аксиографией, миографией и 3D-сканами.
Преимущество
CBCT (КТ челюсти)
Панорамный снимок (ОПТГ)
Формат
3D изображение
2D изображение
Детализация
Высокая, видны мельчайшие структуры костей и зубов
Ограниченная, без объёмной информации
Область исследования
Локально или вся челюсть с суставами
Вся челюсть, но без детальной визуализации
Лучевая нагрузка
Низкая (сопоставима или меньше, чем у ОПТГ)
Низкая
Возможности анализа
Оценка толщины кости, выявление скрытых патологий, планирование имплантации, ортодонтии, хирургии
Общая оценка состояния зубов и костей, без точных измерений
Как выглядит результат?

Фотореалистичная 3D-модель лица

Возможность виртуальной примерки будущих конструкций;

Возможность рассматривать результат под любым углом.
Противопоказания
Острые воспалительные процессы в области лица
Обширные повязки, шины или гипс в зоне сканирования
Невозможность зафиксировать голову и лицо в стабильном положении

Вы получите интерактивный 3D-снимок, на котором чётко видны: зубы и корни, костные структуры челюсти, гайморовы пазухи, суставы ВНЧС.

Файл можно просматривать в специализированных программах или передать вашему врачу/лаборатории для планирования лечения.
Беременность (особенно первый триместр)
Наличие тяжёлых заболеваний в стадии обострения
Недавнее облучение в больших дозах
Невозможность сохранять неподвижность во время исследования
Отзывы пациентов
Очень быстро и профессионально сделали КТ челюсти. Снимки отличного качества, врач подробно всё объяснил.
Получил результат в тот же день, файлы подошли моему врачу для планирования имплантации без проблем.
После диагностики в Fibo мы смогли точно спланировать лечение и избежать ошибок. Пациент получил 3D-модель и сплинт, что упростило процесс установки конструкций.
Я увидела свою будущую улыбку ещё до начала лечения. Это очень мотивирует и даёт уверенность в результате!
FAQ
Да, вы можете записаться только на КТ челюсти.
Да, мы предоставляем файлы в совместимых форматах (DICOM, STL и др.).
Готово в день визита.
Хотите увидеть будущую улыбку до начала лечения?
Записываясь на диагнотику, вы даёте согласие на обработку своих данных и условия услуги диагностики состояния зубов